Μια 27χρονη έγκυος ήταν έτοιμη να γεννήσει. Ωστόσο, αυτό που έκανε το μωρό παραλίγο να της στοιχίσει τη ζωή! Η ιστορία της συγκλονίζει.
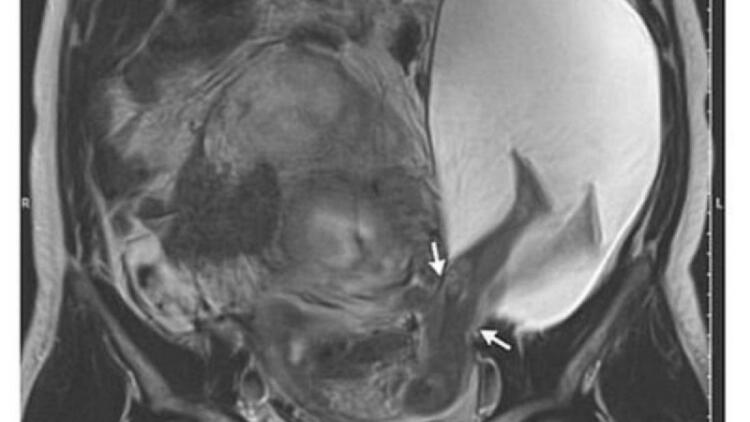
Συγκεκριμένα, μια έγκυος γυναίκα στην Κίνα σώθηκε χάρη στους γιατρούς, αφού το αγέννητο μωρό της κλώτσησε τη μήτρα της σε μια “εξαιρετικά σπάνια” περίπτωση. Η αγέννητη κόρη της κ. Ζανγκ λέγεται ότι κλώτσησε την ίδια τόσο σκληρά, που έσκαψε μια πληγή στον τοίχο της μήτρας της, η οποία είχε μείνει από μια προηγούμενη εγχείρηση.
Το κοριτσάκι γεννήθηκε στις 35 εβδομάδες με καισαρική τομή και η ίδια αλλά και η μητέρα της βρίσκονται σε σταθερή κατάσταση, σύμφωνα με το Νοσοκομείο Shenzhen του Πανεπιστημίου του Πεκίνου στη νότια Κίνα.
Έγκυος πήγε για υπερηχογράφημα – Μόλις κοίταξε την οθόνη πάγωσε
Μια έγκυος πήγε για το υπερηχογράφημα και όταν κοίταξε την οθόνη η καρδιά της “σταμάτησε”. Κανείς δεν μπορούσε να πιστέψει στα μάτια του. Η 24χρονη μοιράστηκε τη στιγμή στο Facebook και από τότε έχει γίνει viral. Τι ήταν αυτό που άφησε τους πάντες άφωνους;
Η χαριτωμένη στιγμή που τα δίδυμα στην οθόνη πιάστηκαν να ανταλλάσσουν ένα φιλί. Στα 12 χρόνια καριέρας τους, οι γιατροί δεν είχαν ξαναδεί παρόμοιο υπερηχογράφημα. “Ήταν τόσο συναρπαστικό που τα είδαμε έτσι. Δεν φανταζόμουν ότι θα ήταν τόσο κοντά μαζί, αλλά ήταν και ήταν τόσο όμορφο αυτό που είδαμε”.
Στην αρχή, ένα μωρό φιλούσε το άλλο μωρό στο μάγουλο. Στη συνέχεια ήρθαν πιο κοντά και έδωσαν ένα γρήγορο φιλί στα χείλη. Η 24χρονη είπε ότι ήταν “τόσο χαριτωμένο”.
Είναι φανερό ότι αυτά τα μικροσκοπικά κορίτσια θα γίνουν οι καλύτερες φίλες στη ζωή και οι γονείς τους έχουν αποδείξεις γι’ αυτό!
Δείτε το βίντεο:








